Contenu de la page.

Les cookies vous accompagnent... et tout comme c’est le cas pour le choix de vos soins, c'est vous qui décidez!


Si vous consentez à être accompagné par nos cookies, ils vous permettront une expérience optimale sur notre site et l'accès aux divers contenus multimédia (vidéos, boutons de partage, plans, etc.). Ces cookies servent à stocker et à traiter des données telles que votre parcours de navigation sur ce site Internet, la nature des recherches effectuées, les types d'appareils utilisés ainsi qu'à cibler des sites de diffusion pour les publicités liées à notre section Carrières.

À tout moment, vous pouvez retirer votre consentement. Si vous souhaitez obtenir plus d’informations sur les cookies, consultez notre politique de confidentialité.
Neurochirurgie

Exérèse d’une tumeur par approche transsphénoïdale

Description

Définition

L’hypophyse est une glande située à la base du crâne. 

Son rôle est de sécréter différentes hormones qui ont des effets sur l’ensemble du corps. 

Les tumeurs hypophysaires sont généralement bénignes, c’est-à-dire qu’elles ne sont pas cancéreuses. 

Bien qu’en général elles ne menacent pas la vie des personnes atteintes, elles peuvent provoquer d’importants bouleversements.

En raison de la compression des nerfs de la vision par la tumeur, la vision peut être affectée. Divers symptômes peuvent aussi être ressentis à cause d’un surplus ou d’un manque d’hormones.

Hypophyse
 

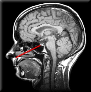
La chirurgie par approche transsphénoïdale

La chirurgie prévue s’appelle : Exérèse d’une tumeur par approche transsphénoïdale (ou par abord endonasal).

Elle consiste à retirer la tumeur en passant par le nez.

Cette chirurgie est pratiquée sous anesthésie générale, vous serez donc endormi tout au long de la procédure. C’est le neurochirurgien qui pratiquera la chirurgie. Il sera accompagné de l’otorhinolaryngologiste (ORL). 

Une incision est pratiquée dans le nez (vous n’aurez donc pas de plaie ou de cicatrice visible). Ensuite, le sinus sphénoïdal est traversé pour atteindre la tumeur. La tumeur est retirée. 

Des mèches seront introduites dans la cavité nasale (elles seront très compactées) et resteront en place 2 à 3 jours après l’opération. Elles seront retirées pendant l’hospitalisation et un pansement sera appliqué par la suite. Il sera changé au besoin et retiré avant votre retour à domicile.

Préparation

Avant la chirurgie

  • Il est important de lire et d’appliquer les recommandations générales inscrites dans le « Guide d’enseignement : Chirurgie avec hospitalisation – Informations générales »
  • Prévoyez dès maintenant l’aide d’une personne pour vous reconduire à domicile lors de votre sortie de l’hôpital.
  • Convenez avec vos proches de l’aide qu’ils vous apporteront pour le transport, l’épicerie, les tâches ménagères et autres besoins.

Conseils

Après votre chirurgie

 

Quoi faire et ne pas faire?
  • Ne vous mouchez pas avant d’avoir eu la permission du neurochirurgien. (habituellement, une période de 28 jours doit être respectée).
  • Rincez vos narines, au minimum 4 – 5 fois par jour, avec une solution nasale d’eau salée (ex. : HydrasenseMD, SalinexMD).
  • En raison de la pandémie reliée à la Covid-19, les prélèvements naso-pharyngés (écouvillon inséré dans le nez jusqu’au pharynx) sont parfois requis pour détecter la présence du virus. Après avoir subi votre chirurgie et pour le restant de votre vie, vous ne devez pas avoir ce type de prélèvement. De graves dommages au cerveau peuvent être causés par l’insertion de l’écouvillon. Exigez alors un prélèvement oro-pharyngé (au fond de la gorge), aux abords des narines ou par gargarisme uniquement.

Hydratation et alimentation
  • L’infirmière vous avisera du moment où vous pourrez boire et manger.
    • Allez-y doucement pour diminuer les risques de nausées et de vomissements.
    • Buvez à votre soif après la chirurgie.
    • N'utilisez pas de paille.
  • Lorsque vous avalez, une légère douleur peut être ressentie, c’est habituellement dû au tube qui a été placé dans votre gorge pendant la chirurgie pour vous aider à respirer. Cette sensation devrait disparaître après quelques jours.
  • Les premiers jours après la chirurgie, la quantité de liquide que vous buvez sera mesurée de façon précise (votre urine sera également mesurée).
Hygiène
  • Vous pourrez prendre une douche dès la 2e journée après la chirurgie. 
  • Ne penchez pas votre tête (ni en avant ni en arrière) pour lavez vos cheveux.
  • Assoyez-vous sur un banc pendant la douche et ayez une personne disponible pour vous aider en cas de besoin.
Mobilisation 
  • Le premier lever post-opératoire se fera en présence de l’infirmière quelques heures après votre retour à votre chambre.

     
    • Allez-y doucement pour ne pas vous sentir étourdit.
  • Ne penchez pas la tête pour une période de 1 mois après la chirurgie.
  • Par la suite, la mobilisation sera selon votre tolérance.

    • Nous vous recommandons fortement de vous mobiliser (2 ou 3 courtes marches au corridor, soyez accompagné au besoin).

    • À la maison, prenez 1 ou 2 marches à l’extérieur chaque jour.

    • Écoutez-vous, augmentez la fréquence ou la durée au gré des semaines et soyez accompagné au besoin.
    • Vous serez surement fatigué, c'est normal!
Système respiratoire

Il est important que vous commenciez rapidement à faire des exercices respiratoires afin de diminuer le risque de complications pulmonaires. 

Prenez 3 à 4 inspirations de 3 secondes, expirez lentement et répétez cet exercice toutes les heures. 

N’utilisez pas d’appareil respiratoire de type Inspiron ou Inspirex. Appareil respiratoire
 

Gestion de la douleur
  • Vous allez peut-être ressentir un mal de tête ou autre douleur. N’attendez pas que la douleur soit trop prononcée, demandez un calmant.
  • La combinaison de l’acétaminophène (ex. : TylenolMD) avec un analgésique améliore habituellement le soulagement de la douleur.

Retour à domicile

Reprise des activités 
  • Ne levez pas de charge de plus de 10 livres (4,5 kg), et ce, pour une période de 3 mois. 
  • Ne pratiquez pas des sports de contact, de la natation ou du plongeon avant que votre neurochirurgien vous ait évalué lors de votre rendez-vous de suivi. 
  • Vous pouvez monter et descendre des escaliers et faire vos activités de la vie quotidienne (ex. : ménage, époussetage, commissions …).
  • Il est possible que votre vie sexuelle soit perturbée suite à la chirurgie. Votre niveau d’énergie est souvent l’indicateur du moment où vous vous sentez prêt à avoir une relation sexuelle. Il n’y a pas de contre-indication particulière. N’hésitez pas à en parler avec un membre de l’équipe traitante si vous avez des inquiétudes. 
Conduite automobile 
  • Ne conduisez pas un véhicule pendant un mois après votre chirurgie (ou selon reprise de votre vision).
  • Par contre, votre chirurgien peut prolonger cette période (en raison, par exemple, de la prise d’analgésiques opioïdes, de type morphine ou DilaudidMD, il vous en informera (questionnez-le au besoin).

Lors de votre départ de l’hôpital

 

Quoi surveiller?
  • C’est normal d’avoir des sécrétions nasales rosées et abondantes pendant 3 à 4 semaines. 

Par contre un écoulement très clair « comme de l’eau de roche » accompagné d’un goût salé dans votre gorge est inquiétant. PRÉSENTEZ-VOUS À L'URGENCE.

  • C’est normal d’avoir le nez bouché pendant quelques jours.
  • Si un des symptômes suivants est présent, communiquez rapidement avec l’infirmière ou présentez-vous à l’urgence. 
    • Température corporelle de plus de 38,5°C (101.3°F).
    • Nausée ou vomissement.
    • Maux de tête qui ont changé (plus fréquent, augmentation en intensité, localisation différente, survenant lors du réveil).
    • Diminution de l’état de conscience ou confusion.
    • Changement de comportement.
    • Nouveau problème d’équilibre.
    • Problème à parler.
    • Difficulté à avaler.
    • Changement dans votre vision.
    • Saignement de nez abondant qui persiste après avoir comprimé 5 minutes avec 2 doigts.
    • Écoulement nasal verdâtre ou nauséabond.
    • Très grande soif et très grande quantité d’urine.

Suivi médical


Infirmière clinicienne en neurochirurgie 


Nom : __________________________________________
418 525-4444 poste 63541


Neurochirurgien et IRM

Nom de votre neurochirurgien : __________________________________________

Il est conseillé de ne pas attendre à la dernière minute pour prendre rendez-vous.

Pour prendre un rendez-vous en neurochirurgie : 418 649-5541 #3
Pour prendre un rendez-vous pour votre IRM : 418 649-5541 #2

Date du prochain rendez-vous : ______________________    Heure : _____________

Médecin de famille 

Prenez un rendez-vous avec votre médecin de famille dans les premiers jours suite à votre sortie de l’hôpital. 

Vous recevrez une copie de votre résumé d’hospitalisation à votre départ, remettez-la à votre médecin de famille lors de votre prochaine visite. 

Date du prochain rendez-vous : ______________________    Heure : _____________


Otorhinolaryngologiste (ORL)

Nom de votre otorhinolaryngologiste : ______________________________________

Date du prochain rendez-vous : ______________________    Heure : _____________


Endocrinologue 

Nom de votre endocrinologue : ________________________________

Date du prochain rendez-vous (2 à 3 mois après la chirurgie): __________________ 
Heure : _______________ Lieu : ________________________________________

Un suivi pour des prises de sang est aussi nécessaire suite à cette chirurgie. Et les résultats des tests seront envoyés directement à votre endocrinologue. Il est possible de faire les prises de sang dans votre milieu ou dans un des 5 centres de prélèvement du CHU de Québec. 

Votre prochain rendez-vous pour des prises de sang
Date : _______________________    Heure : __________________