En exerçant la profession de technologue en imagerie médicale, nous travaillons avec plusieurs types de patients. La différence d’âge, les nombreux diagnostics possibles et le choix de la technique d’imagerie médicale nous amènent souvent à modifier nos manières de travailler.
Par Émilie, Gagnon, technologue en imagerie médicale, CHU de Québec-Université Laval (Hôpital de l’Enfant-Jésus), et Marie-Christine Hamelin-Carignan, technologue en imagerie médicale), CHU Sainte-Justine-Université de Montréal
Il serait donc faux de croire que tous les patients sont traités de la même manière et selon le même protocole. Dans cet article, le sujet du polytraumatisé sera abordé sous plusieurs aspects. Premièrement, nous expliquerons ce qu’est un polytraumatisé, les différents termes en lien avec ce type de patient, l’approche clinique dès son arrivée en centre hospitalier ainsi que les différents types de fractures et d’hématomes possibles. Deuxièmement, nous décrirons les particularités de la clientèle pédiatrique. Finalement, des explications et des exemples de traumatismes médullaires, abdominaux, thoraciques et osseux ainsi que quelques variantes anatomiques des enfants et des adultes seront expliqués. Nous citerons aussi quelques statistiques en lien avec le polytraumatisé.
Définition et prise en charge
Le polytraumatisé peut se définir comme tout blessé présentant deux ou plusieurs lésions traumatiques graves dont l’une, au moins, met en jeu son pronostic vital. Un patient est considéré comme instable lorsqu’il présente des signes d’hypotension, de détresse respiratoire, une altération de l’état de conscience, de la fréquence cardiaque ou de la saturation (taux d’oxygène dans le sang). « L’heure d’or », un concept souvent utilisé en traumatologie, signifie qu’afin d’augmenter le taux de survie du polytraumatisé, il faut agir le plus rapidement possible après un impact et amorcer la réanimation, si nécessaire, sur les lieux de l’accident.
En ce qui concerne la prise en charge hospitalière, les vingt premières minutes sont primordiales à la survie du polytraumatisé. Ainsi, les équipes multidisciplinaires doivent être prêtes dès son arrivée au centre hospitalier, autant l’équipe de la radiologie que celles de chirurgie et de soins infirmiers. Toutes les ressources doivent être mobilisées afin de déployer les différents protocoles et ainsi augmenter les chances de survie du patient. Les ambulanciers doivent donner le rapport d’accident aux urgentologues en n’oubliant aucun détail. Pendant ce temps, tous les membres de l’équipe de réanimation doivent déjà avoir commencé leurs tâches respectives : prise de signes vitaux, installation d’une ou deux voies intraveineuses, intubation, installation du tube nasogastrique et de la sonde urinaire… Un examen physique de toutes les parties du corps doit être aussi effectué. Selon les résultats, le médecin traitant décide quels examens radiologiques sont nécessaires afin de poursuivre son diagnostic.
Chaque centre de traumatologie fonctionne selon son propre protocole. Dans cet article, nous abordons celui du CHU Sainte-Justine. Des radiographies peuvent être réalisées pour répondre aux quatre renseignements cliniques les plus souvent recherchés et les plus importants lors d’un contexte de trauma, soit des radiographies de la colonne cervicale, toujours demandées afin de vérifier l’absence de fractures, une radiographie des poumons, pour visualiser la position du tube endotrachéal et rechercher un pneumothorax, ainsi qu’une radiographie du bassin pour vérifier s’il y a une ou des fracture(s).
Le trauma neurologique
Échelle de Glasgow pour les adultes

En cas de trauma crânien, une prise en charge par l’équipe de neurologie est nécessaire. L’échelle de Glasgow permet d’indiquer l’état de conscience du patient et aide le médecin à choisir une stratégie pour maintenir les fonctions vitales. Un résultat de 3 à 15 est attribué selon trois segments : ouverture des yeux, réponse verbale et réponse motrice. Plusieurs petites différences sont à noter entre les enfants et les adultes.
Échelle de Glasgow pour les enfants

L’échelle pédiatrique est divisée en trois catégories, soit 0 à 2 ans, 2 à 5 ans et 5 ans et plus. Cela permet une évaluation plus réaliste du patient. De plus, chez les enfants, les traumatismes à la tête sont nombreux et doivent être traités de manière juste et rapide.
Nous trouvons quatre différents types de fractures crâniennes :
Fracture linéaire

C’est la plus fréquente. Elle se situe, la plupart du temps, sur les côtés du crâne. Une distance entre les os plus ou moins marquée peut être aussi notée.
Fracture croissante

Ce type de fracture est rare, mais nécessite une prise en charge rapide, puisqu’elle est croissante dû aux pulsations du liquide céphalo-rachidien. Elle se caractérise par un écartement de l’os de plus de 3 mm, une déchirure de la pellicule couvrant le cerveau et des contusions cérébrales. Un examen en échographie peut valider la déchirure de la dure-mère.
Fracture ping-pong

La fracture ping-pong se produit lors d’un impact avec un objet contondant. Une consultation en chirurgie est alors nécessaire.
Fracture de la base crânienne

Cette fracture est rare si les chutes ou les impacts sont de faible altitude. Il y a une atteinte du nerf crânien et une fissure du liquide céphalo-rachidien (liquide se trouvant dans la moelle épinière et le cerveau) est souvent probable.
En lien avec les fractures, il y a souvent présence d’hématomes, dont voici les types les plus fréquents :
Hématome épidural

Il présente deux faces concaves opposées; il se trouve entre la voûte crânienne et la dure-mère (l’une des membranes enveloppant le cerveau). Les symptômes de ce type d’hématome sont des intervalles de lucidité et de perte de conscience.
Hématome sous-dural

Il présente une forme de croissant et se localise entre deux des trois membranes du cerveau. Des maux de tête et des signes de confusion peuvent être perçus chez les patients ayant ce type d’hématome.
Hématome extra-crânien

Il est de moindre gravité, car il se loge entre les différentes couches situées entre la voûte crânienne et la peau.
Traumas de la moelle épinière
De bonnes radiographies de la colonne cervicale, où les images sont prises en positionnant le patient sur le côté gauche, peuvent révéler une multitude d’informations importantes. Par le fait même, cela permet d’éviter au patient de devoir passer d’autres examens complémentaires, comme une tomographie axiale contrôlée par ordinateur (TACO). Il existe plusieurs avantages à la bonne exécution des examens radiologiques, comme de diminuer la quantité de radiations reçues par le patient et d’établir un diagnostic plus rapidement.
Une radiographie de côté de la colonne cervicale peut être réalisée en salle de traumatologie. Par la suite, si le patient est stable, l’examen sera complété au département d’imagerie médicale, car la salle de traumatologie est un lieu de stabilisation et non une salle d’examen.

Fracture de Jefferson au niveau de l’arc antérieur C1 (première vertèbre) et élargissement du canal rachidien secondaire à la fracture de l’arc antérieur de C1.
Les radiographies peuvent détecter plusieurs fractures cervicales, telle que la fracture de Jefferson au niveau de la deuxième vertèbre. Ce type de fracture crée une ouverture de l’anneau de la première vertèbre et, en conséquence, un élargissement du canal rachidien (conduit à l’intérieur de la moelle épinière). Il est possible de voir une entorse grave des deux premières vertèbres. Ce trauma est souvent lié à une hyperflexion du cou, ce qui donne lieu à une lésion du ligament transverse empêchant un frein postérieur. Une partie de la première vertèbre cervicale se déplace alors vers l’arrière et comprime le canal spinal. Il est donc possible de voir, sur une radio de profil, le déplacement de l’arc antérieur de C1 et la face antérieure de l’odontoïde.

Exemple du mouvement d’hyperflexion « whiplash ».
Les radiographies de la colonne peuvent s’avérer inutiles si le patient est alerte, s’il est en âge de répondre aux questions, s’il n’y a aucune douleur à la palpation, s’il est facilement mobilisable et s’il ne présente aucun signe neurologique.
Les traumas thoraciques, abdominaux, des membres inférieurs et supérieurs
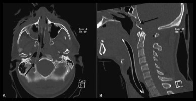
Les conséquences des traumas thoraciques sont nombreuses. Il est possible que les patients présentent des pneumothorax (air dans la cavité thoracique), des hémothorax (sang dans la cavité thoracique), des fractures de côtes ou des clavicules. Certains patients se retrouvent même avec des corps étrangers. La plupart de ces diagnostics sont visibles sur les radiographies. Il faut cependant porter une attention particulière à certains corps étrangers qui peuvent passer inaperçus; des éclats de vitre dans l’œsophage, par exemple, peuvent être cachés par le tube endotrachéal.

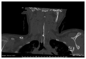
Coupe coronale (plan de droite à gauche) de la colonne cervicale montrant des éclats de vitre dans l’oesophage masqués par le tube endotrachéal (cathéter inséré dans la trachée).

Coupe sagittale (symétrique) de la colonne cervicale montrant des éclats de vitres dans l’oesophage masqués par le tube endotrachéal.
La fracture d’une côte peut sembler banale, mais il n’est pas rare que celle-ci s’associe à des contusions pulmonaires ou même à un pneumothorax. Si l’urgentologue soupçonne une atteinte vasculaire, un examen en tomodensitométrie sera demandé.
Il existe certaines particularités thoraciques en pédiatrie. Les enfants respirent avec le ventre et leur médiastin (région de la cage thoracique) est plus mobile que celui de l’adulte. Leur paroi thoracique est donc plus élastique et ils ont moins de musculature, ce qui se traduit par une moins grande protection des organes internes.
Deux techniques d’imagerie sont le plus souvent sollicitées pour les traumas abdominaux : l’échographie et la tomodensitométrie. L’échographie est un mode d’imagerie de choix pour l’abdomen puisqu’elle permet notamment une excellente visualisation des reins, du foie et de la rate.
À l’opposé, les traumas du pancréas, des intestins et de la colonne (fracture de chance) nécessitent une autre technique que celle de l’échographie. L’ennemi numéro un de l’échographie est l’air : rien ne peut être décelé en présence d’une trop grande quantité d’air et c’est ici que la tomodensitométrie peut être utile. Une recherche de saignement actif, une dissection aortique (irruption de sang à l’intérieur de l’aorte), une lacération de la rate, un trauma vésical ou une plaie ouverte sont des situations fréquemment rencontrées qui demandent l’accès rapide à un tomodensitomètre.

Coupe sagittale d’une fracture de chance au niveau de la troisième vertèbre lombaire.
Les traumatismes des membres supérieurs et inférieurs sont non vitaux. Cependant, il serait faux de croire qu’ils sont de moindre importance. Selon la gravité des lésions, une fracture peut mener à une section des vaisseaux et ainsi provoquer une multitude de visites en salle d’opération.

Fracture fémorale en vue latérale (brow-up).

Fracture ouverte du poignet (radiographie en latéral).

Fracture complète de l’humérus (radiographie en latéral du coude).

Reconstruction osseuse (tomodensitométrie du bassin).

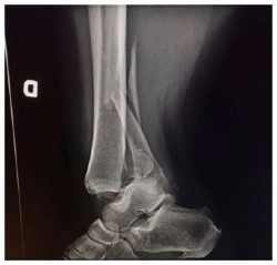
Fracture comminutive du tibia-péroné (radiographie de la cheville en latéral).

Abdomen supérieur avec un corps étranger.

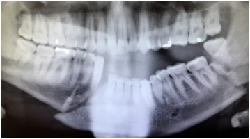
Image panoramique de la mâchoire.

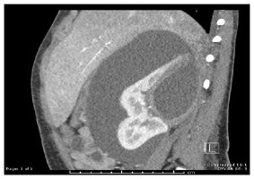
Hématome au rein (coupe sagittale).

Fractures multiples de la colonne cervicale et compression médullaire (déformation de la moelle épinière) (coupe sagittale).

Fractures multiples du massif facial (reconstruction 3D par tomodensitométrie).
Statistiquement, les traumatismes sévères sont la première cause de mortalité chez l’enfant dans les pays industrialisés : 50 % de décès chez l’enfant de plus d’un an et 15 % chez l’adulte. Près de la moitié des décès surviennent sur les lieux de l’accident, en raison de lésions cérébrales ou d’une défaillance cardiocirculatoire.
Parmi les décès secondaires, 30 % surviennent dans les quatre premières heures; ils sont aussi liés à des atteintes neurologiques centrales ou à des hémorragies massives.
Les 20 % restants surviennent dans les jours ou les semaines suivantes l’accident, soit par des infections ou des défaillances multiviscérales. Les traumatismes de l’enfant restent, malgré tout, une pathologie relativement rare (seulement 14 % des traumatismes). Cependant, le taux de mortalité est élevé (plus de 20 %).
Près de la moitié des décès traumatiques sont liés à un traumatisme crânien grave. D’un autre côté, chez l’enfant polytraumatisé, la mortalité est secondaire à des lésions neurologiques à 88 % contre 7 % de blessés thoraciques et 6 % de blessés abdominaux.
Par ailleurs, l’expérience montre que les meilleures chances de survie chez les adultes polytraumatisés étaient obtenues lorsque les patients bénéficient des soins optimaux dans les premières heures après l’accident.
La traumatologie pédiatrique représente 10 % de toutes les hospitalisations, 15 % de toutes les admissions aux soins intensifs et plus de 25 % de toutes les visites à l’urgence.
Il existe une multitude de différences entre les enfants et les adultes, notamment à cause de plusieurs variantes anatomiques en lien avec la colonne cervicale. Chez les enfants, il y a une absence de lordose (courbe dans le bas du dos), une augmentation des tissus mous prévertébraux (devant les vertèbres) et une augmentation des mesures classiques de l’atlas-odontoïde (première et deuxième vertèbres) (3 mm chez l’enfant comparativement à 5 mm chez l’adulte). La mesure de la base de l’odontoïde (structure de la deuxième vertèbre) diffère légèrement (12 mm chez l’enfant comparativement à 16 mm chez l’adulte). Il y a un chevauchement entre l’arc antérieur de C1 et l’odontoïde chez 20 % des enfants de moins de sept ans. Il est plus fréquent de voir une facture de C1-C2-C3 chez les enfants de huit ans et moins que chez les adultes.
Conclusion
Le domaine de la traumatologie est en constante évolution et les protocoles sont toujours améliorés. Toutefois, peu importe si la clientèle est pédiatrique ou adulte, le technologue en imagerie médicale est un maillon important dans la survie du patient. La traumatologie est un travail d’équipe!
Remerciements à l’équipe d’imagerie médicale de l’Hôpital de l’Enfant-Jésus (CHU de Québec-Université Laval) pour les radiographies ainsi qu’aux radiologistes pédiatriques du CHU Sainte-Justine : Dr Laurent Garel, Dr Jean-Claude Décarie et Dr Ramy EL-Jalboult.